
Vivid™ T9
To nejlepší z obou světů - unikátní kombinace zobrazovacích možností systému Vivid™ a diagnostických schopností systému LOGIQ™.

Výjimečná mobilita
Nízká hmotnost (60 kg), robustní kolečka a tlačná rukojeť pomáhají snadnému přemístění.
Tichý a úsporný
Tichý chod, nízký odvod tepla a integrovaný pohotovostní režim šetří energii.
Praktický při užívání
Čtyři porty pro sondy, čtyři standardní držáky sond a 10,1″ vícedotyková obrazovka.

Nový Vivid™ T9 představuje unikátní kombinaci zobrazovacích možností kardiovaskulárních systémů Vivid™ a všestranných diagnostických nástrojů systémů LOGIQ™. Výsledkem je ultrazvukový přístroj, který nabízí to nejlepší z obou systémů, a lékaři tak získají precizní kardiologický diagnostický systém. Výhodou systému je také robustní konstrukce, cenová dostupnost, spolehlivost a snadná obsluha.
Kombinovaný kardiologický ultrazvuk Vivid™ T9.
-
19" Hi-Res LCD obrazovka + 10,1" dotykový displej
-
Speciální kardiologické aplikace: Stress Echo, LVO contrast, TVI - Tissue Velocity Imaging, Auto EF, automatický doppler, AFI
-
Možnosti rozšíření systému: Auto IMT, LOGIQ™ View, B-Flow, DICOM, ECHOPAC
-
Stranově i výškově nastavitelný ovládací panel
-
Intuitivně umístěný integrovaný systém managementu pacientů
-
Automatický systém ukládání dat při výpadku napájení
-
Vynikající mobilita
-
Záruka 3 roky
-
Dostupné sondy: Vaskulární 9L-RS, konvexní 4C-RS Probe, kardiologická 3Sc-RS
Vivid™ T9 Specifikace
Technické specifikace
Kvalitní zobrazení matrixové technologie XD clear a pokročilá implementace umělé inteligence zaručí rychlost a přesnost vyšetření.


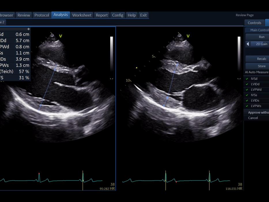
AI Auto Measure
Přesné měření s AI Auto Measure
Technologie AI Auto Measure v systému Vivid T9 umožňuje rychlé a přesné měření s minimálním manuálním zásahem. Tento nástroj zajišťuje vysokou reprodukovatelnost výsledků a zefektivňuje pracovní postup.
AI Auto Measure


Matrixová technologie XD clear
Technologie pokročilé sondy
Umožňuje pořizovat snímky s vynikajícím kontrastem, vysokým prostorovým a časovým rozlišením a zvýšenou penetrací na 2D snímku. I v náročných podmínkách, jako je například vyšetření obézních pacientů, umožňuje pořizovat přesné ultrazvukové snímky jako základ pro spolehlivé stanovení diagnózy.
Matrixová technologie XDclear

Technická dokumentace
Prostudujte si doplňující materiály

Vivid™ T9 XDclear
Zobrazovací techniky














